Impianto dentale a Sassari
Torna a Sorridere con Naturalezza Grazie all’Implantologia Estetica e Rigenerativa
Sì, anche nei Casi Complessi o con Poco Osso.
Affidati al Dott. Alessandro Minniti e al team multidisciplinare dello Studio Dentistico Minniti Moro per riabilitare il tuo sorriso con tecniche di implantologia avanzata, sicura e dall’estetica naturale.
- Approccio rigenerativo per risultati estetici armoniosi e duraturi
- Gestione anche dei casi complessi con poco osso
- Tecnologia digitale e TAC 3D in studio per interventi precisi e rapidi
- Sedazione cosciente e tecniche mini-invasive per un’esperienza senza stress

Dott. Alessandro Gavino Minniti
Medico Odontoiatra
Da oltre 13 anni si occupa di chirurgia orale, implantologia e parodontologia, con particolare interesse nella rigenerazione gengivale e nei risultati estetici naturali. Ideatore della tecnica MTG per la rigenerazione dei tessuti molli.
per l’Implantologia Dentale a Sassari

Chirurgia Implantare Estetica
Rigeneriamo gengive e tessuti per un risultato naturale e armonioso, anche nei casi complessi con poco osso.

Velocità – Metodo 3 Sedute
Grazie alla tecnologia digitale e al laboratorio interno, ottieni un nuovo sorriso in tempi ridotti.

Sedazione Cosciente
Chirurgia guidata e sedazione cosciente per un’esperienza sicura, precisa e senza stress.
Impianto dentale a Sassari
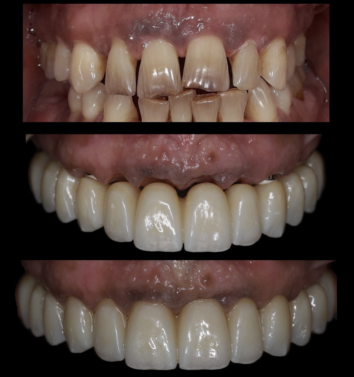
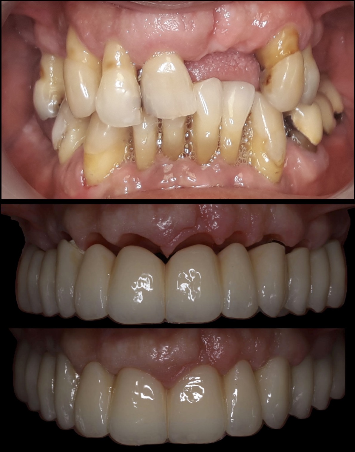
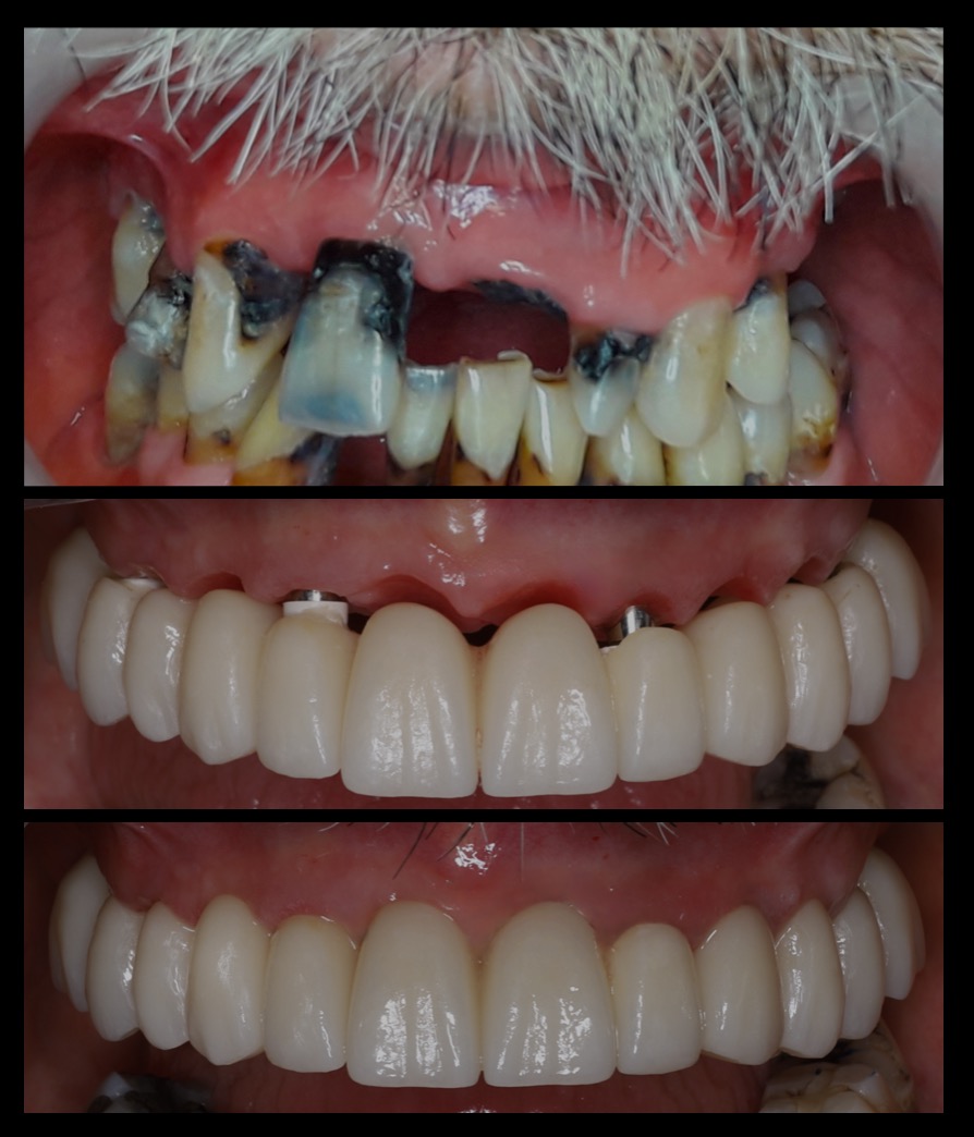
L’implantologia rappresenta oggi una delle soluzioni più efficaci e sicure per sostituire uno o più denti mancanti. Presso lo Studio Specialistico Minniti Moro di Sassari offriamo percorsi personalizzati, con l’obiettivo di ripristinare non solo la funzione masticatoria ma anche l’estetica del sorriso. Grazie all’esperienza del Dott. Alessandro Minniti e all’utilizzo di tecnologie digitali avanzate come la TAC 3D e la chirurgia guidata, trattiamo con successo anche i casi complessi. Il nostro approccio mira a garantire risultati naturali, con tempi ridotti e il massimo comfort per il paziente.
Indice

Impianto dentale a Sassari
Cos’è un impianto dentale?
Un impianto dentale a Sassari è una radice artificiale in titanio biocompatibile che viene inserita nell’osso mascellare o mandibolare per sostituire i denti mancanti. Su questa struttura viene poi fissata una corona protesica dall’aspetto naturale, che riproduce forma e funzione del dente originale. Rispetto ad altre soluzioni, l’impianto preserva l’osso, garantisce stabilità e migliora la qualità della vita. Presso lo Studio Specialistico Minniti Moro, ogni impianto viene pianificato attraverso esami diagnostici digitali che consentono di personalizzare il trattamento e raggiungere risultati estetici e funzionali ottimali.

Tipi di impianti dentali
Esistono diverse tipologie di impianti che permettono di rispondere a esigenze cliniche differenti. Allo Studio Specialistico Minniti Moro utilizziamo:
- Implantologia a carico immediato, per denti fissi già dal giorno dell’intervento.
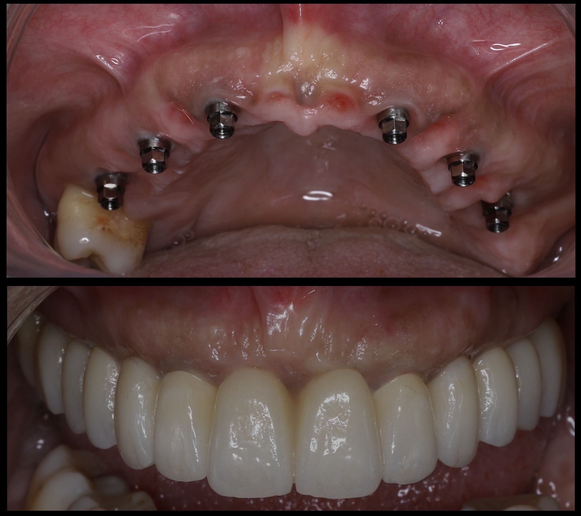
- Riabilitazioni complete su 4 o 6 impianti, soluzioni sicure per arcate intere.
- Implantologia computer guidata e tecnica flapless, che consentono un approccio non invasivo.
- Implantologia zigomatica e iuxtaossea, dedicate a pazienti con poco osso.
- Rigenerazione ossea e rialzo del seno mascellare, procedure che permettono di ricostruire i volumi mancanti.
Questa varietà ci consente di trattare con successo anche casi complessi, sempre con l’obiettivo di un risultato naturale ed estetico.

Soluzioni su misura che valorizzano armonia e naturalezza del sorriso.

Tecnologie digitali avanzate, come TAC 3D e scanner intraorale, per diagnosi e trattamenti precisi.

Un team di esperti in ogni branca odontoiatrica per cure complete e coordinate.
Richiedi maggiori informazioni.
Come si fa un impianto dentale?
Il percorso implantare inizia con una visita accurata e indagini radiografiche come TAC 3D e scansioni intraorali. Questo ci permette di studiare l’anatomia del paziente e pianificare l’intervento in modo digitale. L’inserimento dell’impianto avviene in anestesia locale, con tecniche minimamente invasive che riducono dolore e tempi di recupero. In alcuni casi è possibile applicare i denti fissi nella stessa giornata grazie al carico immediato. La fase successiva prevede l’osteointegrazione, ossia la naturale integrazione dell’impianto con l’osso, seguita dalla realizzazione della corona protesica definitiva, progettata per integrarsi perfettamente con il sorriso del paziente.
Costi impianti dentali
Il costo di un impianto dentale varia in base a diversi fattori: il numero di impianti, le condizioni iniziali del paziente, la necessità di interventi preparatori, i materiali e le tecnologie impiegate. È importante ricordare che ogni piano di cura viene studiato su misura e comunicato in modo trasparente al paziente, con tempi e modalità di pagamento agevolati. Allo Studio Specialistico Minniti Moro privilegiamo la chiarezza e la programmazione: durante la prima visita consegniamo un preventivo dettagliato che tiene conto delle esigenze cliniche ed estetiche di ciascun caso.
Richiedi maggiori informazioni.
Dolore impianti dentali: fa male?
Uno dei timori più frequenti riguarda il dolore. In realtà, l’intervento di implantologia è ben tollerato, grazie all’utilizzo di anestesia locale e tecniche mini-invasive come la chirurgia guidata. Durante la procedura il paziente non avverte dolore e l’uso di strumenti avanzati come il piezoelettrico riduce ulteriormente il disagio. Inoltre, presso lo Studio Specialistico Minniti Moro è possibile ricorrere alla sedazione cosciente, che permette di affrontare l’intervento in pieno relax, eliminando ansia e stress. Questo approccio rassicurante è parte integrante della nostra filosofia di cura.
Dolore dopo un impianto dentale
Nelle ore immediatamente successive all’intervento è possibile avvertire un lieve fastidio o gonfiore, che generalmente scompare in pochi giorni. Si tratta di una risposta normale dell’organismo. Con l’uso di farmaci antidolorifici prescritti, il decorso post-operatorio è ben gestibile. Il nostro team fornisce sempre indicazioni chiare su alimentazione, igiene orale e comportamenti da seguire, accompagnando il paziente in ogni fase. L’obiettivo è rendere il recupero rapido e sicuro, con controlli periodici che assicurano la corretta guarigione.

Lo Studio Specialistico Minniti Moro nasce dall’esperienza del Dott. Alessandro Gavino Minniti e della Dott.ssa Chiara Moro, uniti dalla passione per l’odontoiatria moderna e personalizzata. Il Dott. Minniti, laureato a Sassari, ha conseguito un Dottorato in Odontostomatologia preventiva e una Specializzazione in Chirurgia Orale, distinguendosi in implantologia e rigenerazione gengivale con la tecnica MTG da lui ideata. La Dott.ssa Moro, laureata a Sassari e specializzata in Ortodonzia a Cagliari, ha sviluppato il metodo Orthofast per l’ortodonzia accelerata. Insieme guidano lo studio con innovazione, multidisciplinarietà e attenzione al paziente.

















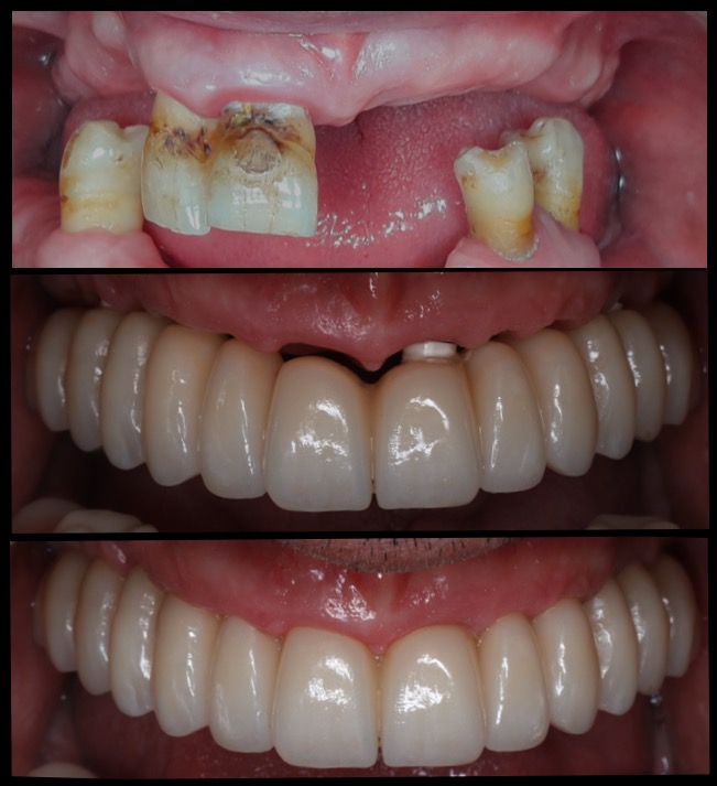
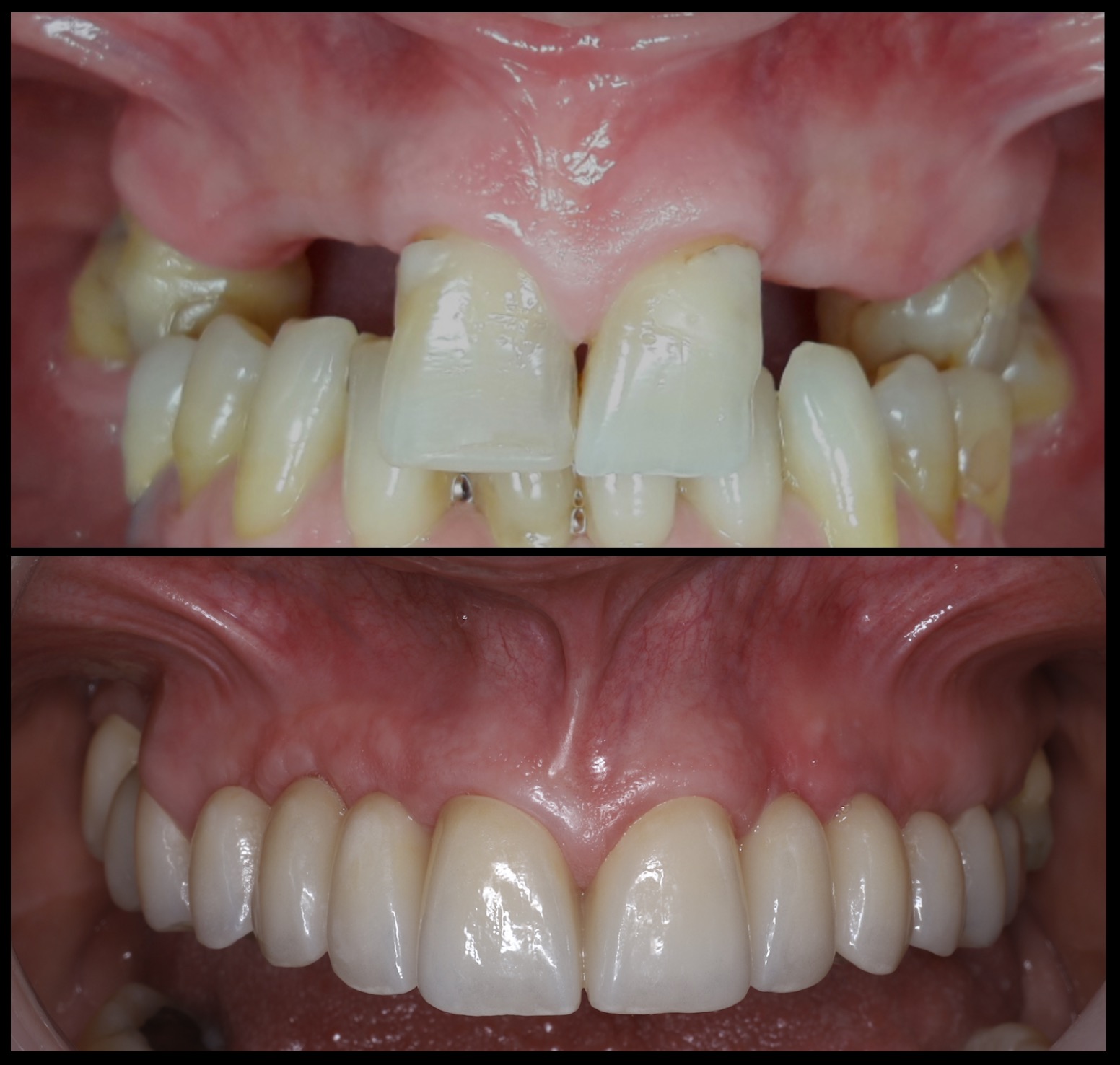
Quali risultati possiamo ottenere con l'implantologia dentale
L’implantologia consente di restituire un sorriso naturale, stabile e armonioso. I nostri pazienti possono tornare a masticare con sicurezza, parlare senza difficoltà e sorridere senza imbarazzo. Attraverso le tecniche rigenerative messe a punto dal Dott. Alessandro Minniti, otteniamo risultati estetici che rispettano le proporzioni del volto. Nella nostra esperienza clinica i casi prima e dopo mostrano miglioramenti significativi sia funzionali che estetici: dal recupero di denti singoli a riabilitazioni complete, ogni trattamento mira a ripristinare l’equilibrio tra estetica e salute orale.
Quanto dura il dolore post impianto dentale
Il dolore post-operatorio è generalmente di breve durata. Nella maggior parte dei casi si attenua già dopo 48-72 ore e tende a scomparire nell’arco di una settimana. Nei trattamenti eseguiti con tecniche computer guidate e flapless, il disagio è ancora più ridotto. Allo Studio Specialistico Minniti Moro ci impegniamo a minimizzare il dolore attraverso protocolli chirurgici avanzati, assistenza costante e un attento monitoraggio del paziente, così da garantire un recupero sereno e senza complicazioni.
Richiedi maggiori informazioni.
Durata del trattamento impianto dentale
Con una corretta pianificazione, un intervento ben eseguito e un’adeguata manutenzione, gli impianti dentali possono durare molti anni, spesso anche tutta la vita. Fondamentale è la collaborazione del paziente: mantenere una buona igiene orale, effettuare controlli periodici e sottoporsi a sedute di igiene professionale consente di preservare la salute dell’impianto. Presso lo Studio Specialistico Minniti Moro offriamo programmi di richiamo personalizzati per monitorare la stabilità nel tempo, con l’obiettivo di garantire la massima durata ai trattamenti eseguiti.
I tempi di un trattamento implantare variano a seconda della complessità del caso. In situazioni favorevoli è possibile applicare i denti fissi nella stessa giornata grazie al carico immediato. In altri casi, invece, può essere necessario attendere l’osteointegrazione, che dura alcune settimane. Grazie a tecnologie digitali interne e alla collaborazione con laboratori di fiducia, allo Studio Specialistico Minniti Moro siamo in grado di ridurre i tempi complessivi, offrendo soluzioni rapide e sicure anche nei casi complessi.
Rigetto di impianto dentale: rischi e controindicazioni
Il termine “rigetto” è spesso improprio: gli impianti sono realizzati in titanio biocompatibile, materiale che si integra con l’osso. Tuttavia, esistono fattori di rischio che possono compromettere la riuscita del trattamento, come scarsa igiene orale, fumo, patologie sistemiche non controllate o mancanza di controlli regolari. Allo Studio Specialistico Minniti Moro ogni paziente viene sottoposto a un’attenta valutazione clinica e anamnestica per ridurre al minimo le controindicazioni. Con una corretta diagnosi, una chirurgia precisa e un’adeguata collaborazione del paziente, la percentuale di successo degli impianti è molto elevata.
Domande frequenti sugli impianti dentali
- L’intervento di implantologia è sicuro?
Sì, grazie a protocolli clinici avanzati, tecnologie digitali come TAC 3D e chirurgia guidata, e materiali biocompatibili, l’intervento è sicuro e predicibile. - Posso fare un impianto anche se ho poco osso?
Sì, esistono tecniche come rigenerazione ossea, rialzo del seno mascellare, implantologia iuxtaossea e zigomatica che permettono di intervenire anche nei casi complessi. - Dopo quanto tempo posso tornare a mangiare normalmente?
Con il carico immediato si può tornare a masticare già dal giorno dell’intervento; nei casi più complessi si consiglia una dieta morbida nei primi giorni. - Gli impianti dentali richiedono una manutenzione particolare?
Serve un’attenzione costante: igiene orale quotidiana accurata, controlli periodici e sedute di igiene professionale per preservare la salute dell’impianto. - Ci sono controindicazioni agli impianti dentali?
Alcune condizioni come diabete non controllato, fumo abituale o malattie sistemiche possono rappresentare un rischio. Una valutazione clinica accurata è sempre necessaria prima dell’intervento.

Da Nord (Porto Torres)
Percorri la SS131 verso Sassari, segui le indicazioni per il centro e raggiungi Viale Umberto I.
Da Sud (Cagliari)
Percorri la SS131 fino a Sassari, prendi l’uscita per il centro città e prosegui su Viale Umberto I.
Da Porto Torres
Treno regionale per Sassari (20 min), poi autobus urbano o taxi verso Viale Umberto I.
Da Cagliari
Treno regionale o veloce per Sassari (3,5–4h), poi autobus urbano o taxi fino allo studio.
Da Porto Torres
Autobus ARST diretto per Sassari (20–30 min), fermata in centro, poi collegamento urbano fino a Viale Umberto I.
Da Alghero
Autobus ARST per Sassari (45 min), scendi in centro città e prosegui con autobus urbano o taxi.
Dove parcheggiare
Lo Studio Specialistico Minniti Moro è situato in Viale Umberto I, nel cuore di Sassari, e può essere facilmente raggiunto anche in auto. Per i pazienti che arrivano con mezzi propri, lo studio ha una convenzione con Parcheggio Il Sole, in Via Renzo Mossa 20, a pochi minuti a piedi. Il parcheggio è ampio, comodo e sicuro, ideale per lasciare la macchina senza stress. In alternativa, sono disponibili posti auto lungo le vie adiacenti allo studio, in zona a pagamento con strisce blu.
- Porto Torres (17 km): segui la SS131 fino a Sassari e prosegui verso il centro.
- Alghero (35 km): percorri la SS291 fino a Sassari, poi segui le indicazioni per il centro.
- Sorso (13 km): prendi la SP60 e raggiungi Sassari in pochi minuti.
- Sennori (14 km): percorri la SP60 in direzione Sassari fino al centro.
- Ossi (10 km): utilizza la SS127bis e segui le indicazioni per il centro città.
Implantologia a carico immediato a Sassari
L’implantologia a carico immediato consente di inserire gli impianti e applicare i denti fissi nella stessa giornata, senza dover attendere mesi per il risultato finale. Questa tecnica è particolarmente apprezzata perché permette di tornare a sorridere e masticare subito, riducendo notevolmente i tempi di trattamento. Presso lo Studio Specialistico Minniti Moro utilizziamo tecnologie digitali avanzate come la TAC 3D e la pianificazione computer guidata, che consentono di eseguire interventi precisi e minimamente invasivi. Il tutto viene svolto in un ambiente sicuro e con la massima attenzione al comfort del paziente. Grazie all’esperienza maturata in anni di pratica clinica, i nostri specialisti sono in grado di affrontare anche casi complessi, garantendo un risultato estetico naturale e stabile nel tempo.
Impianto dentale su 4 impianti a Sassari
La riabilitazione su 4 impianti è una tecnica che permette di sostituire un’intera arcata dentale fissando una protesi stabile su soli quattro impianti. È una soluzione indicata per chi ha perso tutti i denti di un’arcata, ma desidera un’alternativa fissa, sicura e dall’aspetto naturale rispetto alla protesi mobile tradizionale. Allo Studio Specialistico Minniti Moro pianifichiamo l’intervento con TAC 3D e software digitali, in modo da posizionare gli impianti nelle aree dell’osso più favorevoli. Questo approccio riduce i tempi chirurgici e garantisce una stabilità immediata, con la possibilità di avere i denti fissi già dal giorno dell’intervento. L’esperienza del nostro team e l’uso di protocolli moderni assicurano una riabilitazione funzionale ed estetica, restituendo serenità e sicurezza nel sorridere.
Impianto dentale su 6 impianti a Sassari
La riabilitazione su 6 impianti prevede l’inserimento di sei radici artificiali per sostenere una protesi fissa completa. È indicata per chi ha perso tutti i denti di un’arcata e desidera una stabilità maggiore, con una distribuzione uniforme dei carichi masticatori. Presso lo Studio Specialistico Minniti Moro questo trattamento viene eseguito con l’ausilio di tecnologie avanzate come la TAC 3D e la chirurgia computer guidata, che permettono di pianificare l’intervento con la massima precisione. L’obiettivo è offrire una protesi funzionale, resistente e dall’aspetto naturale. Grazie all’esperienza del nostro team e al supporto del laboratorio odontotecnico, ogni protesi viene realizzata su misura per armonizzarsi al meglio con il volto e il sorriso del paziente.
Implantologia computer guidata a Sassari
L’implantologia computer guidata utilizza software digitali che permettono di pianificare l’intervento in anticipo, con la massima precisione. Grazie a questo approccio, l’odontoiatra può visualizzare in 3D la bocca del paziente e individuare la posizione migliore in cui inserire gli impianti, riducendo al minimo i margini di errore. Allo Studio Specialistico Minniti Moro questo tipo di implantologia viene associato alla TAC 3D e a tecniche chirurgiche mini-invasive, così da garantire interventi più rapidi, meno dolorosi e con tempi di recupero ridotti. I vantaggi per il paziente sono numerosi: maggiore sicurezza, predicibilità dei risultati e, in molti casi, possibilità di inserire i denti fissi nella stessa giornata.
Impianti dentali senza tagliare la gengiva a Sassari
La tecnica flapless, nota anche come implantologia senza bisturi, consente di inserire gli impianti senza incidere la gengiva e senza esporre l’osso. In questo modo il paziente beneficia di un intervento minimamente invasivo, con minore sanguinamento, ridotto gonfiore e tempi di guarigione più rapidi. Presso lo Studio Specialistico Minniti Moro adottiamo questa metodica quando le condizioni cliniche lo permettono, grazie a strumenti diagnostici avanzati come TAC 3D e scanner intraorale, che consentono di valutare con precisione l’anatomia del paziente. La combinazione tra esperienza clinica e tecnologie digitali rende questa tecnica una valida alternativa per chi desidera un percorso più confortevole e sicuro.
Impianti iuxtaossei a Sassari
Gli impianti iuxtaossei rappresentano una soluzione specifica per pazienti con gravi riassorbimenti ossei, in cui non è possibile inserire impianti tradizionali. Si tratta di strutture personalizzate che si adattano all’anatomia del paziente e vengono ancorate direttamente all’osso. Allo Studio Specialistico Minniti Moro utilizziamo tecniche avanzate e materiali biocompatibili per garantire stabilità e durata nel tempo. Grazie alla progettazione digitale, possiamo realizzare impianti su misura, capaci di restituire funzionalità masticatoria ed estetica anche nei casi più complessi. Questa tipologia di trattamento richiede esperienza e pianificazione accurata, elementi che da anni contraddistinguono il nostro approccio all’implantologia.
Impianti zigomatici a Sassari
Gli impianti zigomatici sono una soluzione avanzata per pazienti con grave perdita di osso nella mascella superiore. Invece di ancorarsi nell’osso mascellare, questi impianti vengono fissati direttamente all’osso zigomatico, molto più denso e resistente. Presso lo Studio Specialistico Minniti Moro, grazie a TAC 3D e pianificazione computer guidata, questa tecnica viene eseguita in totale sicurezza e permette di riabilitare anche i casi più complessi senza ricorrere a lunghi interventi di rigenerazione ossea. Il vantaggio principale è la possibilità di applicare una protesi fissa stabile in tempi rapidi, ridando funzionalità ed estetica anche a chi ha convissuto per anni con protesi mobili.
Innesto osseo dentale a Sassari
L’innesto osseo dentale è un trattamento che consente di ricostruire il volume dell’osso necessario per inserire un impianto. Può essere indicato nei pazienti che hanno perso denti da tempo e presentano riassorbimenti ossei. Allo Studio Specialistico Minniti Moro utilizziamo diverse tecniche di rigenerazione ossea, adattandole al caso clinico: da materiali biocompatibili a matrici derivate che favoriscono la ricrescita naturale del tessuto. Con l’ausilio di TAC 3D e tecniche chirurgiche moderne, questo trattamento viene eseguito in modo sicuro e con tempi di recupero ottimizzati. L’obiettivo è rendere possibile l’inserimento di impianti stabili e duraturi, anche nei casi più complessi.
Rialzo seno mascellare a Sassari
Il rialzo del seno mascellare è un intervento che permette di aumentare l’altezza dell’osso nella parte posteriore della mascella superiore, dove spesso non c’è spazio sufficiente per inserire un impianto. Presso lo Studio Specialistico Minniti Moro questa procedura viene eseguita con tecniche rigenerative moderne e l’ausilio di strumenti come il piezoelettrico, che consentono un approccio delicato e sicuro. Grazie alla TAC 3D possiamo valutare con precisione il volume osseo e pianificare l’intervento, riducendo al minimo i rischi. In questo modo anche chi ha poco osso può tornare ad avere denti fissi, con un risultato stabile ed esteticamente naturale.




























